セラミック治療〜ラバーダムを使って〜

ブログ

blog
カテゴリ:審美歯科

セラミック治療〜ラバーダムを使って〜

患者様は40代男性
虫歯の治療を希望し来院されました。


レントゲン写真の赤丸で囲ってある分に虫歯があります。

当患者様は白い詰め物での治療を希望された為、保険の銀歯ではなく、保険外のセラミックで治療を行うことになりました。
レントゲン写真撮影の結果、右下の奥歯の虫歯が進行していることが分かったので虫歯を除去し、型取りをしてからラバーダム装着下でセラミックの詰め物を装着しました。

ラバーダムの使用には以下のような利点があります。
・歯やセラミックに唾液、血液などの水分の付着を防ぐ
・歯とセラミックの接着力低下の防止
・薬液がお口の中に入らない
・器具や材料の飲み込みを防止
・舌や頬を傷つけない

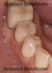
セラミック装着後のお口の中の写真です。

セラミックは保険外の治療ですが、保険の金属による治療と比べて以下のような利点があります。
・審美性に優れる
・金属アレルギーの心配がない
・歯との接着力が強い
・虫歯が再発しにくい
・経年変化が少ない
・再治療になるリスクが低い

虫歯をセラミックで治療したい方、銀歯をセラミックに替えたい方、金属アレルギーの方がいらっしゃいましたらお気軽にご相談ください。

通院回数 2回
セラミックインレー(セレック)55,000円
型取り 3,300円

ページトップへ戻る
RECRUIT

RECRUIT

名古屋駅・栄駅から徒歩すぐ 豊富な自費診療の数・担当衛生士制

あなたの成長できる
環境を提供します

医療法人ナディアデンタルセンター求人はこちら
RECRUIT

OFFICIAL
INSTAGRAM

TOPICS

more
変わりゆく歯科材料の世界

変わりゆく歯科材料の世界

[more]
お口の中の金属を除去〜白い歯へ〜

お口の中の金属を除去〜白い歯へ〜

[more]
インプラント〜埋入前から6年後まで〜

インプラント〜埋入前から6年後まで〜

[more]
「矢場町駅から徒歩5分」「栄町駅から徒歩7分」 ナディアパークデンタルクリニック
ナディアパークデンタルクリニック

ナディアパークデンタルクリニック

NADYA PARK DENTAL CLINIC

〒460-0008 名古屋市中区栄3-18-1
ナディアパークビジネスセンタービル8F

0120-84-461810:00〜13:00/14:00〜18:00

「矢場町駅から徒歩5分」「栄町駅から徒歩7分」

診療時間
10:00~13:00
14:00~18:00
△:土曜日の午後診療は14:00~17:00
  木・日・祝:休診