前歯のホワイトニング+ウォーキングブリーチ ー 名古屋 栄 歯科 歯医者

ブログ

blog

前歯のホワイトニング+ウォーキングブリーチ ー 名古屋 栄 歯科 歯医者

今回は、以前も登場しましたが、「ホワイトニング」&「ウォーキングブリーチ」についてです。

患者様は20代女性の方。

「前歯の色が1本だけ暗いのが気になる、あわせて全体的にホワイトニングもしたい」

という事で受診されました。

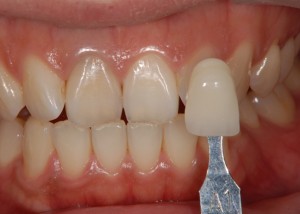
下が、初診時の写真です。

審美歯科 予防歯科 小児歯科 名古屋 症例

矢印をつけた歯が一本だけ、少し色が濃いのがわかるでしょうか??

隣の前歯と比べると、わかるのではないかと思います。

特に歯ぐきとの境目の部分が濃い色をしています。

この歯は、10年ほど前に神経を取る処置をうけていたそうです。

神経を抜いた歯は、このように数年後に、変色を起こすことがあります。

今回の患者様は、全体のホワイトニングも希望されたので、

まずは

①ホワイトニング

↓ 神経を取った歯の色が変わらなければ

②根の治療+ウォーキングブリーチ

↓ それでも、色が変わらず満足

③オールセラミックによる被せ

(今回、神経を取った歯の変色があまりひどくなかったため、恐らくオールセラミックによる処置までは必要ないかと思われますが・・・)

この手順でをお話しをして、治療を進めていくことになりました。

まず、オフィスホワイトニング(歯科医院で行うホワイトニング)と

ホームホワイトニング(自宅で行うホワイトニング)を行います

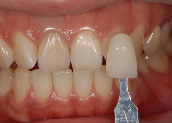
ホワイトニングをスタートする前に、まず色見本で、現在の歯の色を確認します。

(当院では実際に、このように写真を撮って記録を残すようにしてます)

審美歯科 予防歯科 小児歯科 名古屋 症例

神経の取ってある歯は、だいたいA3という色でした。

審美歯科 予防歯科 小児歯科 名古屋 症例

そのお隣の歯は、A1という色。

もともと、かなり白目のかたですね。

さて、2回のオフィスホワイトニングと、2週間のホームホワイトニングを行った後、色を確認していきます。

審美歯科 予防歯科 小児歯科 名古屋 症例

全体的に白く明るくなってきていますね。

矢印で示してある神経を取っている歯もホワイトニングにより白くなってきているのですが、やはり少し色の濃さが残ります。。。

とくに元々濃かった歯ぐきとの境目が濃いですね。

実際に色見本で確認していくと

審美歯科 予防歯科 小児歯科 名古屋 症例

神経を取った歯がA1まで変化していますが

審美歯科 予防歯科 小児歯科 名古屋 症例

神経をとってない歯が030 という色まで明るくなってきています。(A1よりも明るい色です)

神経を取ってある歯も、全体的に白くはなるのですが、周囲の歯に比べると、やはりどうしても神経を取ってある歯は反応が悪いです。

それは神経を取った歯の変色と言うのは、内部に問題があるからなのです。

(このあとの写真で説明していきます。)

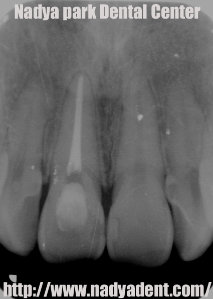
さて、色の濃さが残ったので、最初の計画の②で示したウォーキングブリーチを行っていくことにしました。

審美歯科 予防歯科 小児歯科 名古屋 症例

これが、漂白前の神経を取ってある歯の裏側です。

中の方が、真っ黒になっているのがお分かりいただけると思います。

これが、外の色へと影響しているのでしょう。

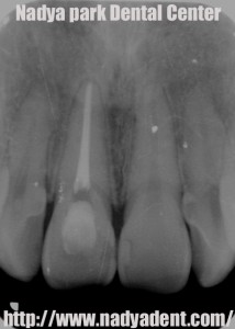
審美歯科 予防歯科 小児歯科 名古屋 症例

上の写真は根の治療の後のレントゲン写真です。

根の治療を終え、歯の神経が入っていたスペースに漂白の薬剤を置きます。

薬剤の交換を4回ほど行った(期間約1ヶ月)のちの写真が下の写真です。

矢印のついた歯が周囲の色に調和してきています

審美歯科 予防歯科 小児歯科 名古屋 症例 審美歯科 予防歯科 小児歯科 名古屋 症例

実際色を比較してみると、全体的に前より少し白くなりました。

全体的な色はほぼA1ですが、歯ぐきとの境目の部分が白くなったことが、大きな変化です。

裏側から見てみても、黒かった部分が白くなっています。

審美歯科 予防歯科 小児歯科 名古屋 症例

根の治療で開けた、裏側の穴は、また術前と同じように、樹脂で治しました(矢印の歯がそうです )

審美歯科 予防歯科 小児歯科 名古屋 症例

最後に、前歯隣の前歯にあった虫歯を治療して、この方の治療終了となりました。

審美歯科 予防歯科 小児歯科 名古屋 症例

術前、術後です。

審美歯科 予防歯科 小児歯科 名古屋 症例 審美歯科 予防歯科 小児歯科 名古屋 症例

そんなに大きな差ではないですが、変色していた矢印の歯の色もある程度周りと調和していますし、

全体的にホワイトニングによって白く変化しました。

患者様は、大変喜んで下さいました。

また、ホワイトニングを行う際、必ず着色のつきやすい食事や、喫煙、クリーニング方法について、などをお話しさせていただいております。

この方も、喫煙習慣があったのですが、ホワイトニングを機に禁煙をしてくださいました。

タバコは、やはり健康に害を与えるものです。

それは、お口の中においても、歯周病の増悪因子になったりと、大きな悪影響を与えます。

これらをお話しすると、ホワイトニングを機に禁煙される方も少なくありません。

このような形で、患者さまの健康増進に関われることは、私どもにとって大変嬉しいことです。

今後とも、ナディアスタッフ一同、みなさまの健康のため、笑顔のため、日々努力をしていきたいと思います。

 

ーーーーーーーーーーーーーーーーーーーーーー

価格は、約5万円。

ウォーキングブリーチとホワイトニングを施した症例。

リスクとして、ホワイトニングの治療中に若干しみることがある。

ーーーーーーーーーーーーーーーーーーーーーー

ページトップへ戻る
RECRUIT

RECRUIT

名古屋駅・栄駅から徒歩すぐ 豊富な自費診療の数・担当衛生士制

あなたの成長できる
環境を提供します

医療法人ナディアデンタルセンター求人はこちら
RECRUIT

OFFICIAL
INSTAGRAM

TOPICS

more
変わりゆく歯科材料の世界

変わりゆく歯科材料の世界

[more]
お口の中の金属を除去〜白い歯へ〜

お口の中の金属を除去〜白い歯へ〜

[more]
インプラント〜埋入前から6年後まで〜

インプラント〜埋入前から6年後まで〜

[more]
「矢場町駅から徒歩5分」「栄町駅から徒歩7分」 ナディアパークデンタルクリニック
ナディアパークデンタルクリニック

ナディアパークデンタルクリニック

NADYA PARK DENTAL CLINIC

〒460-0008 名古屋市中区栄3-18-1
ナディアパークビジネスセンタービル8F

0120-84-461810:00〜13:00/14:00〜18:00

「矢場町駅から徒歩5分」「栄町駅から徒歩7分」

診療時間
10:00~13:00
14:00~18:00
△:土曜日の午後診療は14:00~17:00
  木・日・祝:休診